Renal Artery Revascularisation

RENOVASCULAR HYPERTENSION

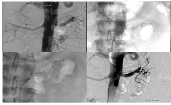
Hypertension, otherwise known as high blood pressure, is when the force of blood against the wall of the artery is continuously high. Many medications are available for controlling blood pressure. However, when conditions get extreme it can be diagnosed as renovascular hypertension (RVHT). This is due to blood flow being restricted to the kidneys. Renovascular hypertension is resistant to medication and will require minimally invasive treatment.

Renal artery angioplasty and stenting is when our interventional radiologist can open the narrow renal arteries to restore normal blood flow. This is done through a small puncture site rather than surgery. The interventional radiologist guides a catheter to the diseased portion of the blood vessel where they can expand the blood vessel and flatten the plaque causing the blockage with a balloon. If needed, the narrowed vessel can also be stented.

© Endovascular Experts. All Right Reserved.

Powered By